Carinal Carcinoid: Endoscopic Laser-Assisted Mechanical Resection [1]

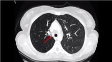
This video demonstrates the technical details of an endoscopic radical resection of an endobronchial carcinoid by laser-assisted rigid bronchoscopy. A 35-year-old woman with a history of cough and asthma was referred for acute hemopysis. A chest CT scan disclosed a round, well-defined mass occluding the right main bronchus; no lymph nodal involvement or tracheo-bronchial wall infiltration was evident. Flexible bronchoscopy confirmed that the right main bronchus was fully occluded by a mobile lesion. Biopsy disclosed a typical carcinoid with a proliferation fraction of 2% and a proliferation index of 1 mitosis/10 high powered fields (HPF).
Considering the low-grade biological features of the lesion, and the absence of lymph nodal involvement or tracheo-bronchial wall infiltration, endoscopic laser-assisted mechanical resection was performed with radical intent. Intraoperative findings suggested a complete resection was accomplished. Biopsies performed by flexible bronchoscopy 30 days later excluded residual disease at the original tumor base. Main carinal resection was thus avoided. A strict follow-up program was started.
This content is published with the permission of the Society of Cardiothoracic Surgeons of Great Britain and Ireland [3].