Lung Autotransplantation: When and How? [1]

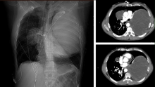
The patient is a forty-five-year-old man with metastatic testicular cancer, who underwent four cycles of chemotherapy with a complete response. Surveillance imaging revealed a 21 x 15 x 12-centimeter mass in the left chest and an 8-centimeter mass in the right upper lobe, consistent with metastasis.
The surgery began with a clamshell incision and vertical sternotomy. Proximal control of the pulmonary artery and superior and inferior pulmonary veins was obtained intrapericardially. A left pneumonectomy was performed.
Using stable cross-table setting, the left lung was placed on ice and flushed with two liters of Perfadex. While ventilating with intermittent ventilation, the oblique fissure was dissected. A basilar segmentectomy was performed.
For transplantation back into the patient, an anastomosis between the left mainstream and left lower lobe basilar trunk was performed using PDS suture. The left main pulmonary artery was anastomosed to the left lower lobe pulmonary artery using 4-0 Prolene sutures. The left atrium was anastomosed to the inferior pulmonary vein with 4-0 Prolene sutures.
The left atrium and pulmonary artery were deaired prior to reperfusion. A wedge resection of the right upper lobe mass was performed. The patient did well postoperatively and was discharged on post operative day 5 on room air. Final pathology was consistent with metastatic teratoma with negative margins.
References
- Nakajima D, Ohsumi A, Hamaji M, Chen-Yoshikawa TF, Date H. Expanded indications for auto-lung transplant technique. Gen Thorac Cardiovasc Surg. 2020 Aug;68(8):828-832. doi: 10.1007/s11748-020-01289-3. Epub 2020 Jan 14. PMID: 31939102.
Disclaimer
The information and views presented on CTSNet.org represent the views of the authors and contributors of the material and not of CTSNet. Please review our full disclaimer page here. [3]