Minimally Invasive Thymectomy for a Large Thymoma With Subxyphoid Extraction [1]
Featured Image:
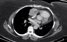
This video demonstrates a minimally invasive resection of a large thymoma in a morbidly obese patient. The utility of cardiac MR in operative planning, intra-thoracic CO2, angled cameras, and subxyphoid extraction are highlighted in this patient.
Subspecialty(ies):
Thoracic [3]
Content Area(s):
Residents [4]
Videos - General [5]