Multiport Video-Assisted Thoracoscopy for Left Anterior Segment GGO [1]
The patient was a 63-year-old male chronic smoker with a positive family history of lung cancer. Computed tomography (CT) scan thorax was suggestive of 1.4 x 1.2cm mixed GGO in the S3 segment of the left upper lobe. The rest of the investigations were normal.
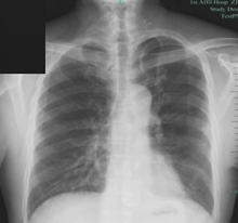
The authors started with a standard 3-port VATS approach dissecting the hilum first to skeletonize the left superior pulmonary vein. V3a was identified, dissected, and divided after suture ligation at the proximal end and harmonic distally. Station 11, 12 lymph nodes were dissected. A3 was identified and divided with staplers. Anterior segment bronchus deeper to the artery was dissected and divided using staplers. V4+5 draining to lingula was safeguarded. S3 segment was demarcated, preserving adjacent segmental veins. Anterior segmentectomy was completed using staplers. Postoperative period was uneventful. The lung was completely expanded on an X-ray chest. The intercostal drain was removed on the third day and the patient was discharged.
Disclaimer
The information and views presented on CTSNet.org represent the views of the authors and contributors of the material and not of CTSNet. Please review our full disclaimer page here [3].