Robotic Lung Decortication After Bilateral Lung Transplantation [1]
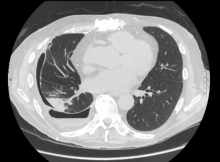
The authors present a case of a 74-year-old man who underwent a bilateral lung transplant. His transplant was done through a clamshell incision. His history was significant for a symptomatic and chronic right recurrent pleural fluid collection that had not responded to nonsurgical management. The operation was performed with the Intuitive da Vinci Xi robotic system. The authors show the use of monopolar scissors, as well as the robotic suction device. The patient recovered very quickly and the authors feel that patients will have significant benefits when surgeons use similar strategies.
References
- Tong BC, Hanna J, Toloza EM, Onaitis MW, D’Amico TA, Harpole DH, et al. Outcomes of video-assisted thoracoscopic decortication. Ann Thorac Surg. 2010 Jan;89(1):220-225. [3]
- Hajjar WM, Ahmed I, Al-Nassar SA, Alsultan RK, Alwgait WA, Alkhalaf HH, et al. Video-assisted thoracoscopic decortication for the management of late stage pleural empyema, is it feasible? Ann Thorac Med. 2016 Jan-Mar;11(1):71-78. [4]