Severe Right Atrial and Ventricular Compression From a Massive Morgagni Hernia and Paralyzed Right Hemidiaphragm [1]
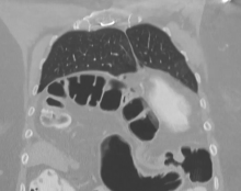
A 57-year-old woman, with a history of pericardiectomy 20 years before, reported progressive dyspnea and orthopnea. A chest computed tomography scan showed a large anterior diaphragmatic (Morgagni) hernia containing a loop of transverse colon and omentum producing mass effect on the right atrium and ventricle. Significant right ventricular outflow obstruction and a small loculated pericardial effusion were confirmed on cardiac magnetic resonance imaging. A sniff test suggested minimal to no motion of the right hemidiaphragm.
Reduction of the herniated transverse colon and omentum was performed via laparotomy, followed by reconstruction of the diaphragmatic defect with Gore-Tex mesh along with drainage of the complex pericardial effusion. This led to resolution of her orthopnea. Due to ongoing exertional dyspnea and continued decline in pulmonary function, she underwent a right hemidiaphragm plication 4 months later. This led to significant improvement in her exercise capacity. At 6-year follow-up, the patient was symptom free with no radiographic recurrence.