Subxiphoid Dual-Port Thymectomy Performed With Partial Resection of the Innominate Vein and Pericardial Patch Closure [1]
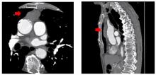
The authors have previously reported on a subxiphoid single-port thymectomy [3]. As a camera is inserted into the midline of the body, the subxiphoid approach facilitates identification of the bilateral phrenic nerves and also provides a good visual field in the neck region compared with that afforded by the lateral thoracic approach. However, the limited operability afforded by the subxiphoid approach renders it unsuitable for procedures which require suturing. The authors have previously reported on subxiphoid dual-port thymectomy, involving placement of an additional port in the intercostal space in the right anterior chest, along with the subxiphoid port. Use of dual ports creates a better visual field, reduces instrument interference, and offers excellent operability for advanced surgeries. This is the case of a patient with an anterior mediastinal tumor. A subxiphoid dual-port thymectomy was performed with partial resection of the innominate vein and pericardial patch closure.