Successful Use of an Endobronchial Valve for Post-Operative Bronchocutaneous Fistula and Pneumothorax Necessitans [1]
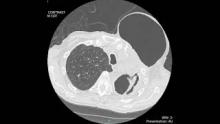
The patient is a sixty-seven-year-old man diagnosed with stage IIIA moderately differentiated squamous cell carcinoma of the left upper lobe. He completed neoadjuvant chemoradiation and underwent a left thoracotomy, left upper lobectomy, and mediastinal lymph node dissection. His course was complicated by necrotizing pneumonia and chronic empyema. He required prolonged drainage with an indwelling chest tube, decortication, and coverage of the left apical cavity with a pectoralis muscle flap. After removal of the chest tube, he developed a bronchocutaneous fistula and subsequent pneumothorax necessitans of the left anterior chest wall.
The patient underwent percutaneous placement of an 8 French pigtail catheter into the anterior chest wall subcutaneous air collection. A flexible bronchoscopy demonstrated an intact left upper lobe bronchial stump. The balloon of a 4mm Fogarty catheter was used to isolate the air leak to the superior segment of the left lower lobe. The subcutaneous air collection resolved. After deflating the Fogarty catheter balloon, the subcutaneous air collection reaccumulated. A 6mm endobronchial valve was deployed into the superior segment bronchi, and the pigtail catheter was clamped. There was no reaccumulation of the anterior chest wall subcutaneous air collection, and the pigtail catheter was removed the next day.
Six weeks later, the patient underwent a flexible bronchoscopy and removal of the endobronchial valve. The subcutaneous air collection did not recur, and the bronchocutaneous fistula and pneumothorax necessitans resolved.
Disclaimer
The information and views presented on CTSNet.org represent the views of the authors and contributors of the material and not of CTSNet. Please review our full disclaimer page here. [3]