Transgastric Laparoscopic-Assisted Endoscopic Excision of a Gastric GIST [1]

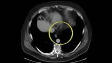
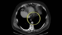
The authors present a case of a transgastric laparoscopic-assisted endoscopic resection in a 64-year-old man with an incidentally found 5.4 cm gastric GIST. The mass was located endoscopically near the gastroesophageal junction. Three transgastric ports were placed and the stomach was insufflated. The mass was excised with ultrasonic shears and removed endoscopically to avoid enlarging the gastrotomy. The mucosotomy was closed with running barbed suture. Final pathology demonstrated negative margins and he was discharged on postoperative day two. This technique offers a minimally invasive approach for removal of a mass near the gastroesophageal junction that may otherwise require a gastrectomy or esophageal resection.
Disclaimer
The information and views presented on CTSNet.org represent the views of the authors and contributors of the material and not of CTSNet. Please review our full disclaimer page here [3].