Uniportal VATS Evacuation of Massive Extrapleural Hematoma [1]
A 78-year-old female patient arrived at the ER with dyspnea, dizziness, and inter-scapular pain. Her past medical history was remarkable for coarctation of the aorta and mechanical aortic valve replacement surgery 12 years prior. The patient was taking Warfarin.
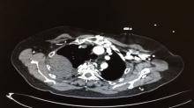
In the ER, the patient had a 220/115 arterial blood pressure, 5.6 INR, 20000 WBC, 2500 D-Dimer, and an unremarkable ECG. Her chest x-ray revealed massive pleural effusion, and a CT scan was done to rule out dissection of the aorta. The CT scan revealed a large extrapleural hematoma, and it was suspected that there was bleeding from the intercostal arteries. The patient was admitted to the cardiothoracic ICU department, and was treated with FFP and antihypertensive drugs. The next day, after the correction of the INR, she underwent a uniportal VATS surgery to evacuate the hematoma. The patient was discharged home on the third post-operative day.