VATS Mediastinal Germ Cell Tumor Metastasis Resection [1]
Featured Image:
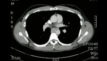
VATS can be safely used for dissection of masses in the visceral mediastinum. This video presents the case of a 31-year-old man diagnosed with a metastatic germ cell tumor, and successfully treated with a three-port posterior approach VATS.
Subspecialty(ies):
Thoracic [3]
Content Area(s):