VATS Repair of Recurrent Congenital Bochdalek Hernia With Intrathoracic Herniation of the Kidney and Portion of the Pancreas [1]
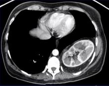
This video demonstrates a VATS repair in an adult of a recurrent, congenital Bochdalek hernia with intrathoracic herniation of the left kidney and a portion of the pancreas. A Bochdalek hernia is a congenital posterolateral defect of the diaphragm. It is more commonly seen in infants and predominantly occurs on the left side. Intrathoracic herniation of the stomach and intestine is also common. Incidence of associated intrathoracic kidney herniation is reported to be less than 0.25%. To the author’s knowledge, this is the first reported case of a VATS repair of this complex hernia.
In an in-depth discussion [3], Daniel Gwan-Nulla shares additional insights on this technique.