VATS Resection of Ectopic Parathyroid Adenoma [1]
Featured Image:
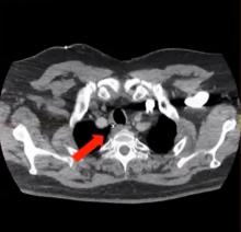
This videos shows a successful VATS resection of an ectopic parathyroid adenoma, which was deemed unresectable via standard approaches.
Subspecialty(ies):
Thoracic [3]
Content Area(s):
Videos - General [4]