VATS Technique for Diaphragmatic Plication [1]

Objective
The authors present a video-assisted thoracoscopic surgical (VATS) technique for diaphragmatic plication due to phrenic nerve paralysis. The primary goal of this procedure is to decrease abdominal compression over not only the lower pulmonary lobe, but also the pericardial sac. The authors believe that the pericardial compression is also responsible for these patients’ decreased quality of life.
Case Video Summary
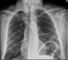
Symptomatic patients referred to the authors’ service with hemidiaphragmatic paralysis and/or eventration are investigated with chest x-ray, fluoroscopy (sniff-test), and spirometry. Only in patients where the etiology of the paralysis is unclear will an electromyography be ordered. Surgery is indicated in patients with dyspnea and loss of quality of life.
In the procedure shown in this video, VATS was performed with three ports, two in the eighth intercostal space (10 mm and 5 mm ports) and one in the fifth intercostal space (5 mm port). Carbon-dioxide insufflation with 10 cm of water pressure was used. Patients must be in deep neuromuscular blockade.
With the help of an endosuture device, the authors began the diaphragmatic plication from the cardiophrenic angle, anteriorly towards the lateral part of the chest wall. Single sutures were placed “by demand,” according to necessity. A second line of sutures was started at the costophrenic angle, again, towards the lateral chest wall. Progressively, the diaphragm elevation decreased and, with the sutures under traction anteriorly, the compression of the pericardial sac also decreased. Once the dome of the diaphragm was flattened, the lung regained volume and the pericardial sac was freed from compression. To better evaluate the result, during full re-expansion of the lung the authors confirmed that there was no contact between the lung and the diaphragm and that there was no pericardial compression. Finally, a 24 Fr chest drain was inserted. At 90 postoperative days, spirometry and chest x-ray were performed to evaluate lung function improvement.
Conclusion
The objective of this procedure is to lower and flatten the diaphragm to decrease compression of the lung and pericardial sac. This will improve patients’ lung function and quality of life.