Video-Assisted Pediatric Left Upper Lobe Sleeve Lobectomy [1]
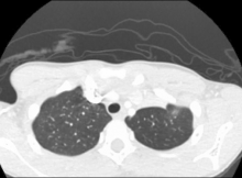
A 10-year-old boy presented with a carcinoid tumor obstructing the left upper lobe bronchus. He underwent VATS sleeve lobectomy. Initially, the authors attempted to perform a bronchotomy with reconstruction, however this distorted the bronchial reconstruction, resulting in poor re-expansion of the lower lobe. The resection was completed to a formal sleeve, and the primary reconstruction performed with good re-expansion of the lower lobe.
References
- Gao HJ, Jiang ZH, Gong L, Ma K, Ren P, Yu ZT, et al. Video-assisted vs thoracotomy sleeve lobectomy for lung cancer: a propensity matched analysis. Ann Thorac Surg. 2019;108(4):1072-1079. [3]
- Caso R, Watson TJ, Khaitan PG, Marshall MB. Outcomes of minimally invasive sleeve resection
J Thorac Dis. 2018 Dec;10(12):6653-6659. [4]
Disclaimer
The information and views presented on CTSNet.org represent the views of the authors and contributors of the material and not of CTSNet. Please review our full disclaimer page here [5].