Videothoracoscopic Left Internal Mammary Artery Lymphadenectomy for Single Site Breast Cancer Recurrence After Chemoradiotherapy [1]
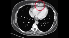
A 52-year-old patient was admitted to the authors’ department for left internal mammary artery lymph nodal metastases from breast cancer. The patient had undergone a left radical mastectomy 20 years earlier for breast cancer, and redo soft tissue excision 4 years after for isolated local recurrence. She then received chemo and hormone therapy, as well as radiotherapy. Prolonged follow-up disclosed a left internal mammary artery single site recurrence histologically proven by CT-guided needle biopsy.
Considering that the two lymph nodes of the internal mammary artery were the only site of recurrence of a very slow relapsing disease, oncologists recommended a lymphadenectomy. The authors planned a left videothoracoscopic lymphadenectomy of the involved lymph nodes of the internal mammary artery.
A 3 cm utility incision was performed anteriorly in the 4th intercostal space, while two thoracoscopic accesses were performed in the 8th and 6th intercostal spaces on the mid-axillary line. A medium-sized tampon mounted on a pair of forceps and inserted through the utility incision was used to retract the pericardium and the heart to better expose the retrosternal space. CO2-induced pneumothorax was not used.
Although closely adherent to the internal aspect of the chest wall, the major lymph node was successfully isolated by extrapleural dissection without any mammary artery or vein damage. Similarly, the smallest upper lymph node was easily dissected, isolated, and then radically resected after pericardial fat dissection. Hemostasis was then optimized by fibrin gauze and coagulation. At the 6-month postoperative visit the patient had no sign of local recurrence and a carcinoembryonic antigen value decrease from 17.0 ng/mL to 9 ng/mL. However, considering the systemic disease, Exemestane was started.
Acknowledgements: The authors thank oncologists Marco Colleoni, MD, and Anna Cardillo, MD for referring the patient and for postoperative care; Eugenio Romano, scrub nurse, for technical support during the procedure, radiologist Stefania Rizzo, MD for pre-operative imaging review, and Anne Collins for editing the English text.