ALERT!

This site is not optimized for Internet Explorer 8 (or older).

Please upgrade to a newer version of Internet Explorer or use an alternate browser such as Chrome or Firefox.

Techniques

Pages

This video discusses the TransMedics Organ Care System, which allows normothermic beating donor heart preservation during transport.
July 27, 2011
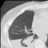
Patients who have had a second episode of spontaneous pneumothorax are those most likely to be considered for thoracoscopic pleurectomy and apical blebectomy.
June 13, 2011
The Frozen Elephant Trunk Technique using a Hybrid Prosthesis is presented as a collaborative Expert Technique by the Heart Center Leipzig and the West-German Heart Center Essen.  The keys to successful implementation of this technology are discussed within the spectrum of patient evaluation to postoperative management.
April 19, 2011
In this article the authors describe the steps in performing TEMLA as it is currently practiced in their institution. Videos are included to enhance its utility.
April 10, 2011
In hybrid ORs angiographic 3D imaging capabilities are required. Due to the technical complexity and the multitude of users and procedures, careful planning is key for every hybrid room project.
April 10, 2011
Patient Selection
April 4, 2011
Patient Selection
March 17, 2011
Replacement of the aortic valve remains an effective treatment of severe aortic stenosis (AS). The authors provide a brief introduction into catheter-based approaches for the treatment of severe AS, with a focus on the operative techniques.
January 20, 2011
The article describes the 2-year follow-up of a patient with a 5-cm aneurysm of the descending thoracic aorta associated with a chronic Type B aortic dissection, which was successfully treated with an endovascular stent-graft.

Pages