« CTSNet Online Books
LUNG CANCER
A Handbook for Staging, Imaging, and Lymph Node Classification
by Clifton F. Mountain, MD; Herman I. Libshitz, MD; and Kay E. Hermes
Contents | About the Author(s) | Dedication and Acknowledgment
 Illustrations and Imaging
page 13 

T2

Fig. 7: Diagram, T2 disease.
A Tumor that is (a) more Than 3 cm. in greatest dimension, or a tumor of any size that (b) invades the visceral pleura; (c ) the proximal extent of the tumor must be within a lobar bronchus or at least 2 cm. distal to the carina. Increasing size, > 3 cm., and invasiveness are characteristics of T2 disease.

 

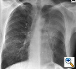
Fig. 8: Posterior-anterior radiograph shows a 6.5 cm left lower lobe bronchogenic carcinoma, T2, without hilar or mediastinal nodal metastases.

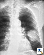
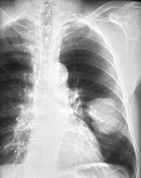
Fig. 9: T2, Atelectasis/pneumonitis extending to the hilar region. Posterior-anterior radiograph shows typical appearance of left upper lobe collapse with amputation of the left upper lobe bronchus, secondary to bronchogenic carcinoma, T2.

Copyright © 1999 - 2003 by CF Mountain and HI Libshitz, Houston, Texas. All rights reserved.

Printed in the United States of America by Charles P. Young Company. No part of this manual may be reproduced by any means without the prior written consent of the authors.