« CTSNet Online Books
LUNG CANCER
A Handbook for Staging, Imaging, and Lymph Node Classification
by Clifton F. Mountain, MD; Herman I. Libshitz, MD; and Kay E. Hermes
Contents | About the Author(s) | Dedication and Acknowledgment
 Bronchioalveolar Carcinoma
page 59 
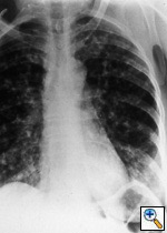
Fig. 56: Posterior-anterior radiograph. Bronchioalveolar carcinoma presenting as multiple nodular densities. Note that the edges are not sharply defined, TX N0 M1, stage IV.
 Implications of Staging for Survival Rates

The implications for survival rates of the T, N, M, and stage classifications according to clinical and surgical-pathologic criteria are illustrated in Figs. 57-63 (data source and statistical methods are described in the appendix). Erosion of survival rates as lung cancer progresses from stage IA through stage IV reflects the efficacy of treatment, prognosis, and the usefulness of the classification system.

Regardless of other disease characteristics, the status of the primary tumor and of the regional lymph nodes has significant influence on survival rates in patients with non-small cell lung cancer and no evidence of distant metastasis, (Figs. 57-60). Significant differences in survival rates according to both clinical and surgical pathologic staging criteria are illustrated in Figures 62-63 for patients with non-small cell lung cancer. As noted in the legend, no significant difference in survival rates was documented for the stage IB and stage IIA patients by either clinical or surgical pathologic criteria. The small number of patients seen with cStage IIA tumors must be kept in mind when this comparison is evaluated.

Copyright © 1999 - 2003 by CF Mountain and HI Libshitz, Houston, Texas. All rights reserved.

Printed in the United States of America by Charles P. Young Company. No part of this manual may be reproduced by any means without the prior written consent of the authors.