Laparoscopic Repair of Bochdalek Hernia [1]
Featured Image:
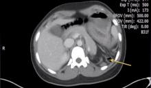
This video demonstrates a laparoscopic repair of symptomatic left-side Bochdalek hernia in a 20-year-old female. The patient presented with chronic intermittent constipation, nausea, and emesis. A CT scan revealed the hernial defect.
Subspecialty(ies):
Thoracic [3]
Content Area(s):
Videos - General [4]