Laparoscopic Repair of LVAD-Related Diaphragmatic Hernia [1]
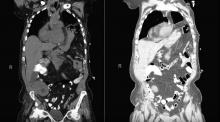
The authors present a video of a 65-year-old female with non-ischemic cardiomyopathy, who had a left ventricular assist device (LVAD) implanted as a bridge for transplantation. After the heart transplant, the patient developed profound shortness of breath and a diaphragmatic hernia was diagnosed. This video demonstrates the authors’ laparoscopic technique for performing a repair.