Pediatric Uniportal Left Lower Lobectomy [1]
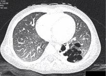
A 14-month-old female patient (full term, normal vaginal delivery) was diagnosed antenatally with left side congenital pulmonary airway malformation. The postnatal workup, including chest CTA, showed left lower lobe (LLL) congenital pulmonary airway malformation and arterial supply of the LLL from a large artery arising directly from the descending aorta. A uniportal thoracoscopic lobectomy of the left lower lobe was performed, with lung isolation achieved using single lumen endotracheal intubation of the right main bronchus.