Robotically Assisted Mitral Valve Repair After Failed Percutaneous Repair [1]
Mitral valve repair after failed percutaneous edge-to-edge repair (Mitraclip® device) can be complex and technically challenging. In this video, we show that it may be safely performed using a totally endoscopic robotically assisted approach (1, 2).
Patient Details
The patient was a fifty-two-year-old male with a medical history of active smoking, alcoholism, hypertension, dyslipidaemia, COPD, and chronic ischemic cardiopathy since 2015 with multiple stents on the LAD and circumflex arteries.
In October 2020, the patient suffered a new non-ST segment elevation myocardial infarction requiring the implant of another stent in the circumflex artery. The echocardiography showed severe mitral regurgitation with ejection fraction (EF) of 35%, and a Mitraclip® was implanted. After a first clip was implanted, the regurgitation was still moderate to severe. Nevertheless, a second clip was not placed because the mean gradient rose to 5mmHg.
Eight months after the procedure, the patient was admitted with worsening heart failure symptoms, and the echocardiography revealed progression of the mitral stenosis gradient (mean gradient 10mmHg) with severe mitral regurgitation. Thereafter, the patient was scheduled for robotically assisted mitral valve surgery.
Operative Steps
After preparation for robotically assisted mitral valve surgery with the Da Vinci Xi system, including femoral cannulation for cardiopulmonary bypass, the aorta was cross-clamped and the mitral valve exposed through a left atriotomy using the dynamic atrial retractor.
The Mitraclip® device was correctly positioned in the middle point of A2-P2 with complete endothelization. The unlocking mechanism of the clip was actioned to help with the detachment of the device. A suture was placed to unlock the grasping system and loose the device with the help of the robotic forceps. Once the device was unlocked, it was gently separated from the leaflets. At this time, as the device was more mobile, the subvalvular part of the device could be seen and manipulated. Using countertraction, the anterior part of the Mitraclip® was liberated and afterward the posterior wedge as well.
Subsequently, a systematic mitral valve assessment was performed. Then a mitral valve with rheumatic disease was shown with restricted leaflet opening because of thickening of leaflets and fusion of both commissures and the subvalvular apparatus (thickening and retraction of chordae tendineae and fuse heads of the papillary muscles).
To gain mobility and increase the opening of the valve, a papillotomy of both papillary muscles was conducted, first the anterolateral and then the posteromedial.
Organic mitral valve disease because of rheumatic disease was present beyond the ischemic functional regurgitation. Later on, a proper water test showed a dilated ring with severe regurgitation. One annular stitch was implanted at P2 to help mimic the ring effect; a new water test showed significant improvement in coaptation. The surgical team decided to perform a nonrestrictive annuloplasty using a complete semi-rigid ring. The size was decided using both the intertrigonal distance and the anterior mitral leaflet surface. Thus, a 30mm ring was implanted using interrupted 2/0 nonabsorbable braided sutures. Sutures were then passed through the ring and gently secured using an automatic knot-tying device. Once more, a water test was performed and revealed a minor jet at the P2-P3 indentation, which was closed with excellent results.
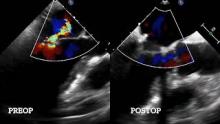
After coming off bypass, a transesophageal echocardiography showed postoperative results with mild mitral central regurgitation and no significant valve stenosis (mean gradient 5mmHg, maximum gradient 8mmHg). The patient was discharged uneventfully four days after surgery.
Follow-Up
Seven months after surgery, the patient was doing well. The echocardiography showed an effective mitral valve repair without mitral regurgitation or stenosis (gradients were stable, EF 50%).
References
- El-Shurafa H, Arafat AA, Albabtain MA, AlFayez LA, AlOtaiby M, Algarni KD, Pragliola C. Reinterventions after transcatheter edge to edge mitral valve repair: Is early clipping warranted? J Card Surg. 2020 Dec;35(12):3362-3367. doi: 10.1111/jocs.15077. Epub 2020 Sep 29. PMID: 32996198.
- Monsefi N, Zierer A, Khalil M, Ay M, Beiras-Fernandez A, Moritz A, Stock UA. Mitral valve surgery in 6 patients after failed MitraClip therapy. Tex Heart Inst J. 2014 Dec 1;41(6):609-12. doi: 10.14503/THIJ-13-3626. PMID: 25593525; PMCID: PMC4251332.
Disclaimer
The information and views presented on CTSNet.org represent the views of the authors and contributors of the material and not of CTSNet. Please review our full disclaimer page here. [3]