Single-Port Right Upper Lobe Sleeve Lobectomy [1]
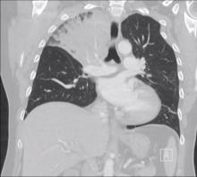
A 52-year-old female smoker presented to the ER with pneumonia. Her chest x-ray showed consolidation of the right upper lobe (RUL). Flexible bronchoscopy revealed that the orifice of the right upper bronchus was fully occluded by a tumor mass, and biopsy confirmed a typical carcinoid tumor. Her chest CT scan showed the right upper lobe fully consolidated and a tumor obstructing the RUL orifice, without evidence of hilar or mediastinal adenopathy. The patient was treated with antibiotics for 15 days, and was readmitted for surgical treatment.
In this case, with the patient under general anesthesia, the author started the procedure with a 5 cm incision in the 5th intercostal space. A wound protector is routinely used. For a right upper lobectomy, the author starts the dissection around the hilum to identify the vascular structures. Before dividing the vessels, the posterior part of the hilum is dissected to fully expose the right main bronchus, RUL bronchus, and bronchus intermedius. The single-port approach gives a straight view to the vessels, so it is easier to start with dividing the anterior arterial trunk. The dissection of the superior vein is simpler if the minor fissure is complete. The division of the vein can be a difficult step, so it is important to mobilize the vein as much as possible. In this case, the author performed a fissure-less technique, so the major fissure was divided after the vascular division.
The last step is the bronchoplasty. The author starts dissection on the back wall of the right main bronchus, extending to the bronchus intermedius. The proximal and distal bronchi are encircled. The right main bronchus is divided first, followed by the bronchus intermedius. Both margins are checked by frozen section. Once they are confirmed negative, the inferior pulmonary ligament is released for a tension-free anastomosis. A traction stay suture is placed for tension-free approximation of both stumps. The anastomosis is started at the inferior (mediastinal) part with 4-0 PDS. The author prefers to use a running suture, anteriorly and posteriorly. This step is also performed under bronchoscopic visualization. Once concluded, the author checks for an air leak with underwater insufflation. A pleural flap is wrapped around the anastomosis to prevent direct contact between the pulmonary artery and the anastomosis. A single 24F chest tube is inserted through the same single-port intercostal space.
In this case, the patient had an uneventful clinical course and was discharged home on the fourth post-operative day.