Subxiphoid Uniportal Lung Volume Reduction Surgery [1]

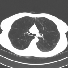
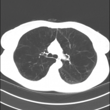
A 50-year-old woman with severe emphysema due to smoking underwent lung volume reduction surgery of her right upper lobe.
A subxiphoid incision measuring 2.5 cm was made, through which the telescope and video-assisted thoracoscopic instruments were introduced and the target lung was removed. Deflation of the target lung was facilitated by puncturing the lung with diathermy, though scissors may also be used. Excision was completed using reinforced staples that were administered utilizing a powered stapler. The authors recommend creating a pleural tent in upper lung volume reduction surgery to reduce air leaks. Finally, careful closure of the incision was performed, with the chest drain coming out through the subxiphoid incision.
Patients must be very committed, accept personal responsibility for smoking related emphysema, and commit to leaving behind self-destructive behaviors. They must then undergo multidisciplinary assessment by the authors’ specialist “hyperinflation” team. They must also undertake intense prehabilitation.
Patients are mobilized on the day of their surgery and should be prepared for discharge within 2-5 days, though sometimes recovery takes longer. Patients may go home with their chest drains still inserted. This patient left the hospital after three days with her chest drain removed, displaying an excellent clinical response. Three months later, the residual volume had reduced by 1.1 L and exercise distance was increased 70%. The St George’s Respiratory Questionnaire score had improved significantly, and the patient was keen for contralateral surgery.
The authors recommend that appropriate contralateral surgery be performed as soon as possible after full recovery on the first side.