Uniportal Left Upper Lobe Lobectomy With Partial Pleurectomy [1]
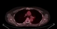
A 59-year-old woman underwent an examination for amaurosis fugax. A chest CT scan revealed a 2.6 cm tumor in the apex of the left upper lung attached to the chest wall. Since this lesion was considered highly suspicious for cancer, the patient underwent a PET scan that showed a hypermetabolic nodule with a SUVmax of 17.6. There were no hypermetabolic hilar or mediastinal lymph nodes, or distant metastasis. After a complete preoperative work-up with spirometry and a cardiopulmonary stress test, the patient was considered for a left upper lobectomy.
The mass was attached to the apex of the chest wall. The authors elected to first perform the lobectomy and release the lobe by a pleurectomy last. This strategy allowed:
- Prevention of extra bleeding during the dissection of adhesions
- Diminished neoplasic dissemination
- Natural counter-traction during the dissection of the hilum (which kept the lobe in an upward position, facilitating the surgery).
The authors shared this video to show that the accepted concept of releasing the lung from all adhesions before performing a resection is not necessarily true in VATS.