An Unusual Cause of Chronic Pericardial Constriction: Pericardial Replacement with ePTFE [1]
In patients expected to require multiple sternotomies during their lifetimes, some surgeons have advocated for the use of Gore-Tex expanded polytetrafluoroethylene (ePTFE) membranes as a pericardial substitute to mitigate sternal reentry. There is a lack of systematic data on the safety and efficacy of the Gore-Tex membranes’ use for this application. However, limited retrospective data suggests this practice is safe (1). This article and accompanying video describe a case of chronic pericardial constriction because of Gore-Tex membrane implantation at prior surgery as pericardial replacement in a sixty-four-year-old man who underwent successful reoperation with explant of the membrane and pericardiectomy.
Case Description
This study conforms to the principles outlined in the Declaration of the Helsinki. It was conducted after obtaining informed verbal consent from the patient.
A sixty-four-year-old male with a history of two cardiac surgeries presented with several years of worsening symptoms, including signs of chronic pericardial constriction and severe tricuspid regurgitation. He underwent intracardiac repair for tetralogy of Fallot as a child and redo sternotomy with closure of a residual ventricular septal defect (VSD) at age forty-five. During the second operation, a Gore-Tex membrane was used to reconstruct the anterior pericardium. Additional history was significant for atrial fibrillation requiring multiple ablations, nonischemic cardiomyopathy, and implantation of a CRT device.
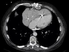
Preoperative transthoracic echocardiography and cardiac magnetic resonance imaging (MRI) demonstrated a thickened pericardium. Imaging also indicated an increased mitral E/A ratio after atrial contraction, high (≥9 cm/sec) mitral medial annular early diastolic velocity, and paradoxical septal motion. These results were consistent with cases of constrictive pericarditis and decreased biventricular systolic function (LVEF 45%) with severe tricuspid regurgitation. Right heart catheterization revealed equalization of diastolic filling pressures, moderate pulmonary hypertension, pulmonary capillary wedge pressure of 28 mmHg, and a cardiac index of 1.8 L/min/m2. Next, a chest computed tomography demonstrated a focal fluid collection in the anterior mediastinum, with circumferential calcification and significant compression of the right ventricle. There was a similar collection along the surface of the diaphragm.
A reoperative sternotomy was performed; an old Gore-Tex membrane was found posterior to the sternum. Beneath the membrane, there was a large collection of blood clots and one plate of calcium adhered to the anterior surface of the right ventricle. The right side of the pericardium had been harvested during the previous operations. Furthermore, the Gore-Tex appeared to have been sewn circumferentially to the remnant of the native pericardium with a running polypropylene suture.
After complete removal of the Gore-Tex membrane, the right side of the heart was carefully cleared of all adhesions to the lung and other mediastinal contents. The aorta, superior vena cava, and inferior vena cava were cannulated, and cardiopulmonary bypass was initiated. The plate of calcium was carefully peeled off from the right ventricle using electrocautery. Additionally, an old calcified hematoma—found posterior to the heart and along the diaphragm—and a calcific plate on the posterior surface of the left ventricle were completely removed. The posterior, diaphragmatic, and part of the left sided pericardium were also removed, preserving the left phrenic nerve pedicle. A tricuspid ring annuloplasty was performed on cardioplegic arrest for the dilated tricuspid annulus with normal leaflets.
Postoperatively, the cardiac index was 3.2 L/min/m2, and vasoactive medications were weaned off within twenty-four hours. The remaining hospital course was uneventful, and the patient was discharged on postoperative day twelve. Lastly, a six-month follow-up visit indicated that the patient was asymptomatic and in good health.
Closing Remarks
There have been few reports of chronic pericardial constriction following implantation of a pericardial substitute at the time of cardiac surgery (2, 3). In this case, the mechanism appeared to be entrapment of blood products between the right ventricle and the Gore-Tex membrane. As a result, the membrane became calcified over time. It is possible that this phenomenon could have been avoided by fixing the Gore-Tex patch with a set of interrupted sutures rather than one tight, continuous suture.
In conclusion, chronic pericardial constriction because of pericardial replacement with ePTFE is rare and should be considered on the differential diagnosis in a patient with history of prior cardiac surgery presenting with heart failure signs and symptoms. Surgical management is safe and effective, as evidenced by this case.
References
- Loebe M, Alexi-Meskhishvili V, Weng Y, Hausdorf G, Hetzer R. Use of polytetrafluoroethylene surgical membrane as a pericardial substitute in the correction of congenital heart defects. Tex Heart Inst J. 1993;20(3):213-217.
- Endo S, Saito N, Misawa Y, Sohara Y. Late pericarditis secondary to pericardial patch implantation 25 years prior. Eur J Cardiothorac Surg. 2001;20(5):1059-1060. doi:10.1016/s1010-7940(01)00958-7.
- Bergoënd E, Marchand M, Casset-Senon D, Cosnay P. Localized constrictive pericarditis after Gore-Tex pericardial substitution. Interact Cardiovasc Thorac Surg. 2010;10(5):813-815. doi:10.1510/icvts.2009.225763.
Disclaimer
The information and views presented on CTSNet.org represent the views of the authors and contributors of the material and not of CTSNet. Please review our full disclaimer page here. [3]