Various Presentations of Penetrating Chest Trauma in a Tertiary Care Center [1]
Chest trauma can present in many unique and unusual ways, but, if managed in time, patients can have an excellent prognosis. This video shows three cases of chest trauma with different modes of injury and varied presentations. The selected cases involve the lungs, heart, and important vascular structures in the chest.
Patient 1: A male patient was assaulted with a broken glass bottle in a bar fight. On examination, he had a wound in the left parasternal area involving the third and fourth intercostal space. The left mid lung was visible through the wound. The trauma ward performed a left tube thoracostomy, which drained 1,000 ml of blood. The patient was then taken for surgical chest exploration. An injury to the left internal mammary artery was ligated and a lung defect was sutured.
Patient 2: A male patient was assaulted with a screwdriver in a street fight and presented with penetrating chest trauma around the xiphisternum. The patient also presented with features of cardiac tamponade. He underwent urgent echocardiography and was taken for surgical chest exploration. The right ventricle was sutured with pledgeted polypropylene.
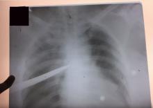
Patient 3: A female patient was assaulted with a kitchen knife. The wound was located in her right thorax. Surgical exploration was conducted via a right thoracotomy. The knife was removed and the lung defects were sutured.