VATS Left Upper Lobe Trisegmentectomy for a Small Lung Nodule [1]
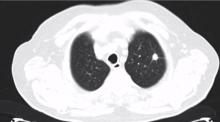
A 78-year-old patient was admitted to the authors' department for a left upper lobe nodule resection. The patient had a past history of smoking and comorbidities, including hypertension and COPD. He had no symptoms, but an x-ray revealed a nodule in the left upper lobe. The CT scan confirmed that there was an 11 mm nodule with a malignant appearance. Percutaneous transthoracic fine-needle aspiration revealed that the nodule was an adenocarcinoma. Bronchoscopy showed an endo-bronchial squamous carcinoma in the superior segment of the right lower lobe. The FEV1 was 1680 (76%) and the DLCO 92%.
Considering the nodule size and that the patient would need a further right resection, the authors planned a VATS trisegmentectomy, sparing the lingula, for the left nodule. A 3-4 cm utility incision was performed anteriorly in the 5th intercostal space. The thoracoscopic access was performed in the 8th intercostal space, on the posterior axillary line. An 11 mm nodule was detected in the left upper lobe and the lingula was not affected.
A single chest tube was inserted through the thoracoscopic access at the end of the procedure, and was removed the day after. The patient was discharged on the second postoperative day. The final pathological result revealed a pT1aN2 adenocarcinoma, with involvement of one aorto-pulmonary window node. The patient subsequently underwent an open anatomic resection of the superior segment of the right lower lobe, and adjuvant chemotherapy.