VATS Pneumonectomy for Destroyed Lung [1]
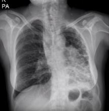
A 41-year-old female patient with a 20-year history of bronchiectasis presented at the authors’ clinic with recurrent hemoptysis and frequent pulmonary infections. A CT scan showed that the patient's left lung was destroyed. A pneumonectomy was the only option for surgical resection, and the authors decided to perform a VATS pneumonectomy to minimize morbidity. As a result of recurrent infections, there were severe, dense pleural adhesions. The patient was discharged on postoperative day five, and was followed up with no complications.