VATS for Removal of Para-Aortic Metallic Foreign Body [1]
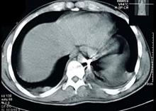
This is the case of a 24-year-old male patient who was involved in a blast injury. Among his multiple traumas was a metallic foreign body abutting the aorta in the left pleural cavity associated with the small hemothorax. Indications to remove the shrapnel included: proximity of the metallic shrapnel to a major vessel, shrapnel larger than 2 cm, and sharp/jagged edges. VATS was utilized to extract the bullet from the pleural cavity. In the author's view, the use of VATS in a hemodynamically stable trauma patient is both safe and effective in removing metallic foreign bodies and shrapnel from the pleural cavity.