VATS Resection of Extralobar Sequestration [1]
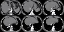
This video demonstrates a VATS resection of extralobar sequestration in an asymptomatic patient. A 40-year-old male patient was admitted for abnormal findings on his chest radiography. The authors suspected a sequestration, and performed CT-angiography in order to make a diagnosis. This revealed a feeding artery that was originating from the abdominal aorta, and a vein that was draining to the inferior vena cava. This video represents the VATS resection of the extralobar sequestration. The patient was discharged on the third postoperative day without any problem. The authors believe that VATS resection of an extralobar sequestration is feasible and safe.