rTX
A retreatment classification, rTX, is appropriate if, following radiotherapy, radiation pneumonitis precludes adequate evaluation and evidence of residual tumor in the chest is obscured.
 |
 |
 |
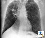
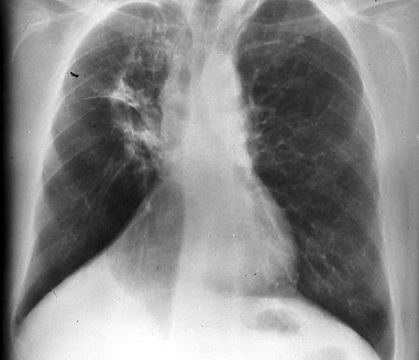
Fig.
2: Posterior-anterior
chest radiograph. Well established
changes of radiation pneumonitis
are present in the right
5 months after completion
of therapy, rTX. |
|
|
T0
A clinical classification of T0 is assigned
if lung cancer is proved, but there is no
evidence of the tumor in the lungs. Examples
are lung cancers that present as metastatic
disease or as another primary site, but are
subsequently confirmed to be metastasis from
lung cancer. A retreatment classification
of rT0 is appropriate for lung cancer that
is in complete remission or that has been
completely resected and has recurred elsewhere.
In multistep treatment programs randomization
to the 2nd or n phase of therapy may be assigned
on the basis of the retreatment classification. |