« CTSNet Online Books
LUNG CANCER
A Handbook for Staging, Imaging, and Lymph Node Classification
by Clifton F. Mountain, MD; Herman I. Libshitz, MD; and Kay E. Hermes
Contents | About the Author(s) | Dedication and Acknowledgment
 Illustrations and Imaging
page 11 

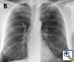
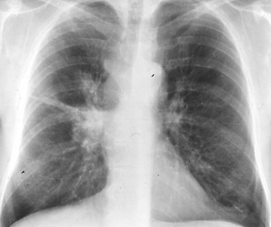
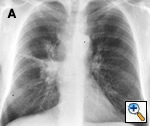
T0

Fig. 3: Posterior-anterior radiographs showing (a) an extensive bronchogenic carcinoma in the right lung and (b) four months after initiation of chemotherapy, a complete remission, rT0.

TIS - Carcinoma in situ

Fig. 4: Carcinoma in situ, TIS, is classified stage 0 in every site of cancer (magnification x 265; courtesy of John M. Lukeman, MD, M.D. Anderson Cancer Center).

Copyright © 1999 - 2003 by CF Mountain and HI Libshitz, Houston, Texas. All rights reserved.

Printed in the United States of America by Charles P. Young Company. No part of this manual may be reproduced by any means without the prior written consent of the authors.