«
CTSNet Online Books
LUNG CANCER
A Handbook for Staging, Imaging, and Lymph Node Classification
by Clifton F. Mountain, MD; Herman I. Libshitz, MD; and Kay E. Hermes
Contents
|
About the Author(s)
|
Dedication and Acknowledgment
 
Illustrations and Imaging
page 15
T3
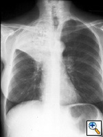
Fig. 12a:
Posterior-anterior chest radiograph shows right upper lobe bronchogenic carcinoma with associated lobar volume loss.
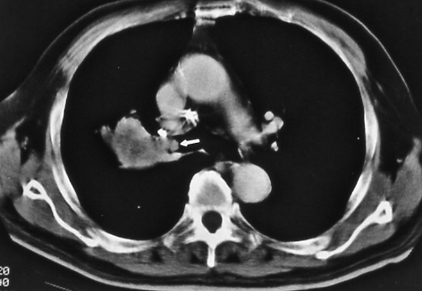
Fig. 12b:
Computed tomographic scan of the chest confirms tumor in the right main stem bronchus within 2 cm of the carina (white arrow), T3 disease.
«
previous page
|
next page
»
Copyright © 1999 - 2003 by CF Mountain and HI Libshitz, Houston, Texas. All rights reserved.
Printed in the United States of America by Charles P. Young Company. No part of this manual may be reproduced by any means without the prior written consent of the authors.