« CTSNet Online Books
LUNG CANCER
A Handbook for Staging, Imaging, and Lymph Node Classification
by Clifton F. Mountain, MD; Herman I. Libshitz, MD; and Kay E. Hermes
Contents | About the Author(s) | Dedication and Acknowledgment
 Illustrations and Imaging
page 16 

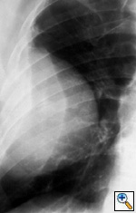
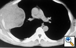
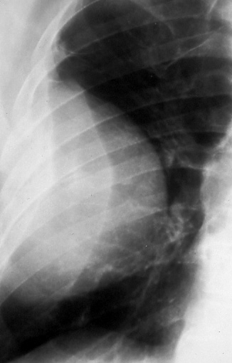
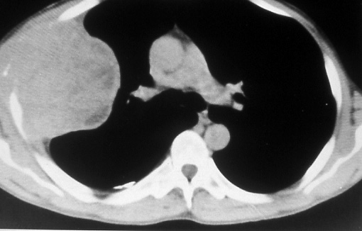
T3

Fig. 13a: Posterior-anterior chest radiograph shows a large peripheral cancer in the right lung with rib destruction, T3.

Fig. 13b: Computed tomographic scan of the chest shows to better advantage the peripheral tumor in the right lung with rib destruction and extension through chest wall, T3.

Copyright © 1999 - 2003 by CF Mountain and HI Libshitz, Houston, Texas. All rights reserved.

Printed in the United States of America by Charles P. Young Company. No part of this manual may be reproduced by any means without the prior written consent of the authors.