« CTSNet Online Books
LUNG CANCER
A Handbook for Staging, Imaging, and Lymph Node Classification
by Clifton F. Mountain, MD; Herman I. Libshitz, MD; and Kay E. Hermes
Contents | About the Author(s) | Dedication and Acknowledgment
 Illustrations and Imaging
page 19 

T4

Fig. 17: Diagram, T4 disease. Extrathoracic tumor extension involving mediastinal structures or the vertebral body and brachial plexus, as shown in the example of Pancoast's tumor.

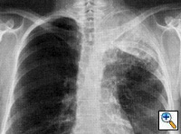
Fig. 18a: Posterior-anterior chest radiograph showing Pancoast tumor in the left apex with destruction of left upper ribs and invasion of the upper thoracic spine. This is a T4 lesion.

Copyright © 1999 - 2003 by CF Mountain and HI Libshitz, Houston, Texas. All rights reserved.

Printed in the United States of America by Charles P. Young Company. No part of this manual may be reproduced by any means without the prior written consent of the authors.