« CTSNet Online Books
LUNG CANCER
A Handbook for Staging, Imaging, and Lymph Node Classification
by Clifton F. Mountain, MD; Herman I. Libshitz, MD; and Kay E. Hermes
Contents | About the Author(s) | Dedication and Acknowledgment
 Illustrations and Imaging
page 18 

T3-T4

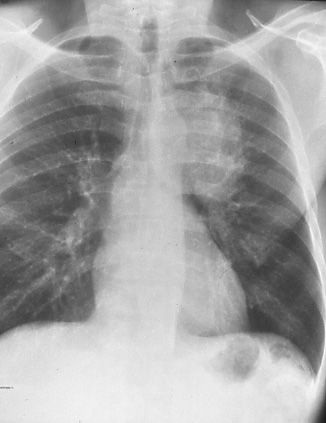
Fig. 16a: Posterior-anterior chest radiograph shows a large central bronchogenic carcinoma on the left; questionable involvement of mediastinum or vascular structures, T3 or T4.

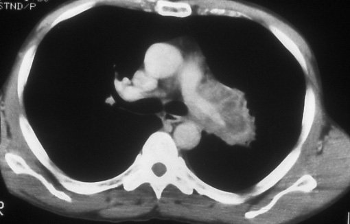
Fig. 16b: Computed tomographic scan of the chest shows that the tumor totally surrounds and compresses the left pulmonary artery and extends into the Intrapericardial portion of the vessel. Involvement of the Intrapericardial portions of the pulmonary arteries should be classified T4; tumor extension involving the vessels distal to the pericardium is T3. (see p. 53)

Copyright © 1999 - 2003 by CF Mountain and HI Libshitz, Houston, Texas. All rights reserved.

Printed in the United States of America by Charles P. Young Company. No part of this manual may be reproduced by any means without the prior written consent of the authors.