« CTSNet Online Books
LUNG CANCER
A Handbook for Staging, Imaging, and Lymph Node Classification
by Clifton F. Mountain, MD; Herman I. Libshitz, MD; and Kay E. Hermes
Contents | About the Author(s) | Dedication and Acknowledgment
 Illustrations and Imaging
page 21 

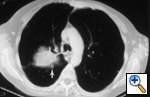
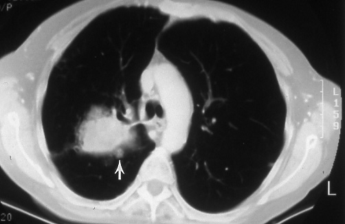
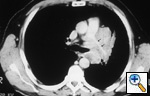
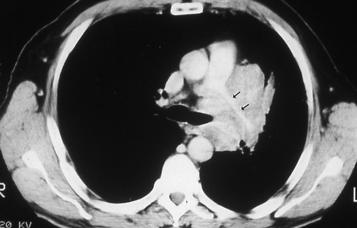
T4

Fig. 20: Satellite nodule in primary tumor lobe. Computed tomographic scan showing a right upper lobe bronchogenic carcinoma with a small satellite nodule (arrow), T4.

Fig. 21: Computed tomographic scan of the chest showing an extensive cancer in the left lung extending into the mediastinum, pericardium, and compressing the left pulmonary artery (black arrows), T4.

Copyright © 1999 - 2003 by CF Mountain and HI Libshitz, Houston, Texas. All rights reserved.

Printed in the United States of America by Charles P. Young Company. No part of this manual may be reproduced by any means without the prior written consent of the authors.