N1
 |
 |
 |
Fig.
22: Diagram,
N1 disease. Metastasis
to lymph nodes in the
peribronchial
or the ipsilateral hilar
region or both,
including direct extension, is classified N1. |
|
|
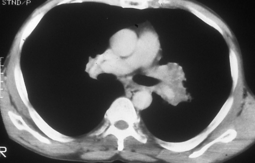
The clinical classification of N1 disease
usually represents metastasis involving
the hilar lymph nodes, defined as the proximal
lobar nodes, distal to the mediastinal
pleural reflection, and the nodes adjacent
to the bronchus intermedius on the right.
Radiographically, the hilar shadow may
be created by enlargement of both hilar
and interlobar nodes. Infrequently, peribronchial,
segmental, and subsegmental lymph nodes
may be seen on conventional and computed
tomographic scans.
 |
 |
 |
Fig.
23: Computed
tomographic scan of the
chest shows extensive
left hilar adenopathy
in a patient with a left
upper lobe bronchogenic
carcinoma, N1 disease. |
|
|
|