«
CTSNet Online Books
LUNG CANCER
A Handbook for Staging, Imaging, and Lymph Node Classification
by Clifton F. Mountain, MD; Herman I. Libshitz, MD; and Kay E. Hermes
Contents
|
About the Author(s)
|
Dedication and Acknowledgment
 
Illustrations and Imaging
page 29
Stage IA
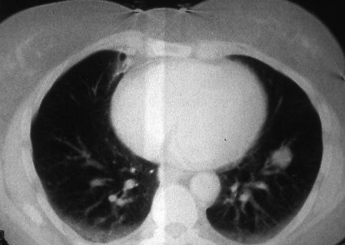
Fig. 34b:
Computed tomographic scan of the lesion in Fig. 34a, T1 N0 M0. The lymph nodes were not involved.
Fig. 35:
Diagram, stage IB. Patients with T2 primary tumors and no evidence of lymph node metastasis, the T2 N0 M0 subset, are assigned to stage IB.
«
previous page
|
next page
»
Copyright © 1999 - 2003 by CF Mountain and HI Libshitz, Houston, Texas. All rights reserved.
Printed in the United States of America by Charles P. Young Company. No part of this manual may be reproduced by any means without the prior written consent of the authors.