« CTSNet Online Books
LUNG CANCER
A Handbook for Staging, Imaging, and Lymph Node Classification
by Clifton F. Mountain, MD; Herman I. Libshitz, MD; and Kay E. Hermes
Contents | About the Author(s) | Dedication and Acknowledgment
 Illustrations and Imaging
page 30 

Stage IB

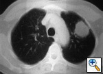
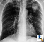
Fig. 36a: Posterior-anterior chest radiograph of a 4 cm. left upper lobe bronchogenic carcinoma. The lymph nodes and visceral pleura were not involved, T2 N0 M0, Stage IB.

Fig. 36b: Computed tomographic scan of the lesion in Fig. 36a. The visceral pleura was not involved.

Copyright © 1999 - 2003 by CF Mountain and HI Libshitz, Houston, Texas. All rights reserved.

Printed in the United States of America by Charles P. Young Company. No part of this manual may be reproduced by any means without the prior written consent of the authors.