« CTSNet Online Books
LUNG CANCER
A Handbook for Staging, Imaging, and Lymph Node Classification
by Clifton F. Mountain, MD; Herman I. Libshitz, MD; and Kay E. Hermes
Contents | About the Author(s) | Dedication and Acknowledgment
 Illustrations and Imaging
page 32 

Stage IIA

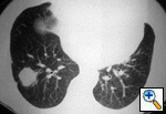
Fig. 38b: Computed tomographic scan (lung windows) through the lesion (Fig. 38a) demonstrates the cancer to better advantage and shows tags to the pleura.

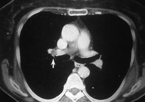
Fig. 38c: Computed tomographic scan (soft tissue windows) shows a right hilar node (arrow) that was proven to contain metastatic disease.

Copyright © 1999 - 2003 by CF Mountain and HI Libshitz, Houston, Texas. All rights reserved.

Printed in the United States of America by Charles P. Young Company. No part of this manual may be reproduced by any means without the prior written consent of the authors.