|
 Illustrations
and Imaging |
page
33 |
Stage
IIB
 |
 |
 |
Fig.
39: Diagram,
stage IIB: Two anatomic
subsets that have nearly
identical survival rates4,
T2 N1 M0 and T3 N0 M0
tumors, are designated
stage IIB. T2 N1 M0 includes
tumors of any size that
invade the visceral pleura
or the main bronchus >2
cm. from the carina,
or those more than 3
cm. in greatest dimension
with metastasis involving
the intrapulmonary, including
hilar, lymph nodes. T3
N0 M0 includes tumors
with limited, circumscribed,
extrapulmonary extension
and no evidence of lymph
node or other metastasis. |
|
|
 |
 |
 |
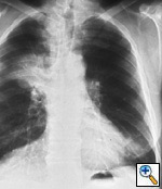
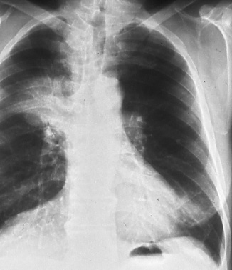
Fig.
40: Posterior-anterior
chest radiograph shows
right upper lobe bronchogenic
carcinoma and enlarged
hilar nodes on the right,
T2 N1 M0, stage IIB. |
|
|
|
|
|
|
|
|
|
|
|
|