« CTSNet Online Books
LUNG CANCER
A Handbook for Staging, Imaging, and Lymph Node Classification
by Clifton F. Mountain, MD; Herman I. Libshitz, MD; and Kay E. Hermes
Contents | About the Author(s) | Dedication and Acknowledgment
 Illustrations and Imaging
page 34 

Stage IIB

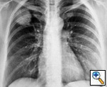
Fig. 41a: Posterior-anterior chest radiograph showing a right upper lobe bronchogenic carcinoma. The chest wall involvement cannot be appreciated.

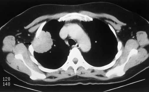
Fig. 41b: Computed tomographic scan of the lesion (Fig. 41a) showing chest wall invasion (arrow). The lymph nodes were free of disease, T3 N0 M0, stage IIB.

Copyright © 1999 - 2003 by CF Mountain and HI Libshitz, Houston, Texas. All rights reserved.

Printed in the United States of America by Charles P. Young Company. No part of this manual may be reproduced by any means without the prior written consent of the authors.