« CTSNet Online Books
LUNG CANCER
A Handbook for Staging, Imaging, and Lymph Node Classification
by Clifton F. Mountain, MD; Herman I. Libshitz, MD; and Kay E. Hermes
Contents | About the Author(s) | Dedication and Acknowledgment
 Illustrations and Imaging
page 36 

Stage IIIA

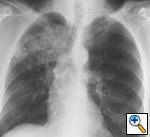
Fig. 44a: Posterior-anterior chest radiograph shows a mass in the right upper lobe and a mass in the right hilum. Mediastinal involvement cannot be excluded. Questionable T2 N2 M0 disease.

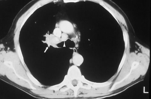
Fig. 44b: Computed tomographic scan of the chest shows the right hilar mass (arrow) and right paratracheal adenopathy (arrowhead). There is a suggestion of compression of the right main stem bronchus anteriorly, T2 N2 M0, stage IIIA disease.

Copyright © 1999 - 2003 by CF Mountain and HI Libshitz, Houston, Texas. All rights reserved.

Printed in the United States of America by Charles P. Young Company. No part of this manual may be reproduced by any means without the prior written consent of the authors.