« CTSNet Online Books
LUNG CANCER
A Handbook for Staging, Imaging, and Lymph Node Classification
by Clifton F. Mountain, MD; Herman I. Libshitz, MD; and Kay E. Hermes
Contents | About the Author(s) | Dedication and Acknowledgment
 Illustrations and Imaging
page 37 

Stage IIIA

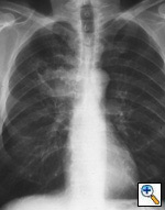
Fig. 45a: Posterior-anterior radiograph shows a right upper lobe mass, contiguous with the mediastinum. The appearance is consistent with a T3 bronchogenic carcinoma.

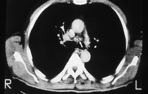
Fig. 45b: Computed tomographic scan of the chest shows a portion of the right upper lobe tumor just lateral to the superior vena cava (arrowhead). A 1.5-2.0 cm. lymph node (arrow) is seen anterior to the carina, T3 N2 M0, stage IIIA disease.

Copyright © 1999 - 2003 by CF Mountain and HI Libshitz, Houston, Texas. All rights reserved.

Printed in the United States of America by Charles P. Young Company. No part of this manual may be reproduced by any means without the prior written consent of the authors.