Uniportal Posterior Approach for Videothoracoscopic Anatomical Resection of Apical Segment of the Left Lower Lobe [1]
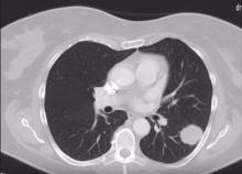
A 57-year-old patient was admitted for metachronous single metastases in the left lower lobe. The metastasis was located in the apical segment of the lower lobe and was 4.5 cm large. Three years prior, the patient had undergone rectum resection followed by adjuvant therapy. A uniportal videothoracoscopic posterior approach with a 4 cm single incision was used to avoid dissection through the fissure (especially as it may have been fused). The author also thought it reasonable to have all of the involved structures in front of the incision. The incision was made in the seventh intercostal space, behind the posterior axillary line. The patient had minor pain treated with non-steroid anti-inflammatory drugs in the postoperative period. The postoperative course was uneventful. The patient was discharged from hospital on the fourth postoperative day.