« CTSNet Online Books
LUNG CANCER
A Handbook for Staging, Imaging, and Lymph Node Classification
by Clifton F. Mountain, MD; Herman I. Libshitz, MD; and Kay E. Hermes
Contents | About the Author(s) | Dedication and Acknowledgment
 Illustrations and Imaging
page 17 

T3

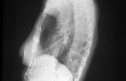
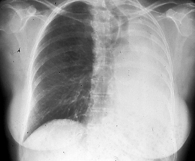
Fig. 14a and 14b: Posterior-anterior and lateral chest radiographs showing total collapse of left lung due to a central bronchogenic carcinoma, T3.

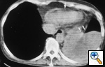
Fig. 15: Computed tomographic scan of the chest shows a central left-sided bronchogenic carcinoma causing collapse of the left lower lobe and invading the pericardium. The normal pericardium can be appreciated (single arrow); the pericardial invasion, T3 disease, is shown at the double arrow.

Copyright © 1999 - 2003 by CF Mountain and HI Libshitz, Houston, Texas. All rights reserved.

Printed in the United States of America by Charles P. Young Company. No part of this manual may be reproduced by any means without the prior written consent of the authors.