« CTSNet Online Books
LUNG CANCER
A Handbook for Staging, Imaging, and Lymph Node Classification
by Clifton F. Mountain, MD; Herman I. Libshitz, MD; and Kay E. Hermes
Contents | About the Author(s) | Dedication and Acknowledgment
 Illustrations and Imaging
page 23 

N2

Fig. 24: Diagram, N2 disease. Enlarged ipsilateral mediastinal lymph nodes (>1 cm.) indicate and are classified clinically as N2. However, because all enlarged lymph nodes do not contain metastasis, objective assessment of the nodes is advised to confirm N2 disease in patients who may be candidates for surgery.

 

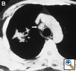
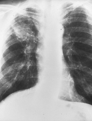
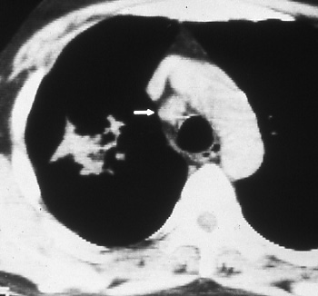
Fig. 25a & b: a) Posterior-anterior chest radiograph shows a mass with irregular borders and infiltrate in the right upper lobe. b) Computed tomographic scan of the chest delineates the right upper lobe mass and enlarged lower paratracheal nodes (white arrow), N2 disease.

Copyright © 1999 - 2003 by CF Mountain and HI Libshitz, Houston, Texas. All rights reserved.

Printed in the United States of America by Charles P. Young Company. No part of this manual may be reproduced by any means without the prior written consent of the authors.